Mon - Sat 07:00Am - 07:00 PM Sun: 07:00 AM - 01:00 PM 0491 250 1601 / 02pulsepalakkad@gmail.com
Trusted By
120,000+ People
First Women Clinic
In Palakkad
First Breast Clinic
in Palakkad

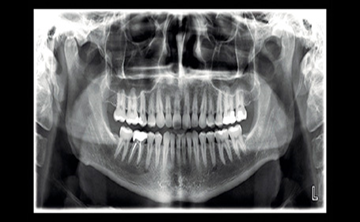
DIGITAL OPG

BEST OPG CENTRE IN PALAKKAD . AT PULSE SCANS .
@ PULSE CLINIC .
Home > Our Services > DIGITAL OPG

DIGITAL OPG



REDEFINING DENTAL IMAGING



PLANMECA PROMAX SCARA 3 WITH ROMEXIS SOFTWARE - a new benchmark for dental imaging.
We look forward to working closely with dental professionals to set new standards in oral radiology, ensuring exceptional quality and unmatched attention to detail.
The Planmeca ProMax is a complete maxillofacial imaging system, with design and operation principles based on the latest scientific research and technological innovations adressing the most demanding needs of dental fraternity. Planmeca ProMax offers complete dental imaging solutions – in panoramic and cephalometric imaging. Our robotic SCARA technology , for example, offers flexible, precise and complex movements needed for extraoral maxillofacial imaging. Planmeca Romexis - offering the most advanced and versatile software to meet all your extraoral imaging needs. CHILD-FRIENDLY IMAGING: is important to avoid excessive doses when caring for all patients, but low dose imaging should be paid particular attention to when imaging younger patients ( more radiosensitive ). The availability of pediatric imaging capabilities combined with the  Planmeca Ultra Low Dose™  imaging protocol ensure that children do not need to be exposed to excessive patient doses – making the Planmeca imaging ecosystem safe for all patients.We also have a dedicated team of professional radiographers behind the scenes that make a real difference.